
A Safer, Gentler Approach to Correcting Jaw Issues in Kids
Extremely painful (up to 5X more force than braces)
Constant breakages requiring emergency visits
Strict diet restrictions (no carrots, apples, etc.)
Hygiene nightmares with food constantly getting stuck
12-18 MONTHS of misery with little guarantee of success

Invisalign® First Transforms Children's Orthodontics
Minimal, gentle force (just 5-10 grams) for virtually no pain
No breakages—aligners are replaced weekly
No diet restrictions—aligners are removable
Easy to keep clean—aligners come out for brushing and flossing
Treatment completed in as little as 6 months
Recognized by Leading News Sources




Real Stories, Real Results
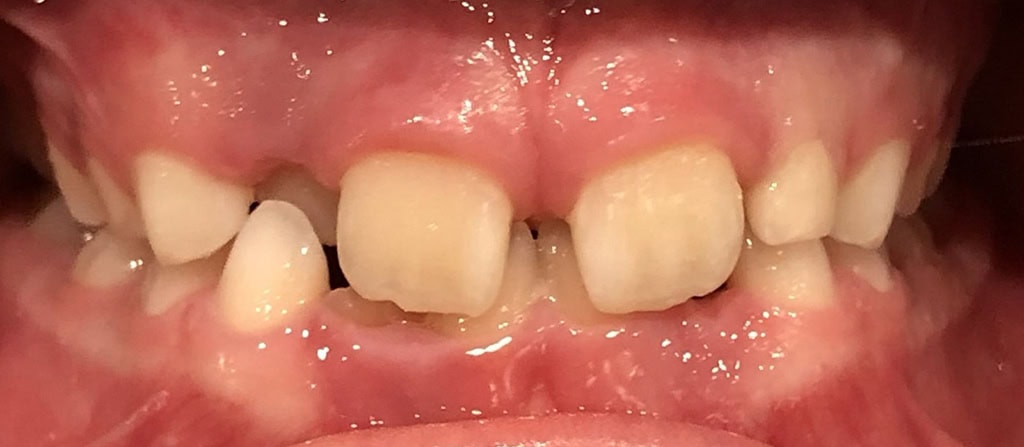
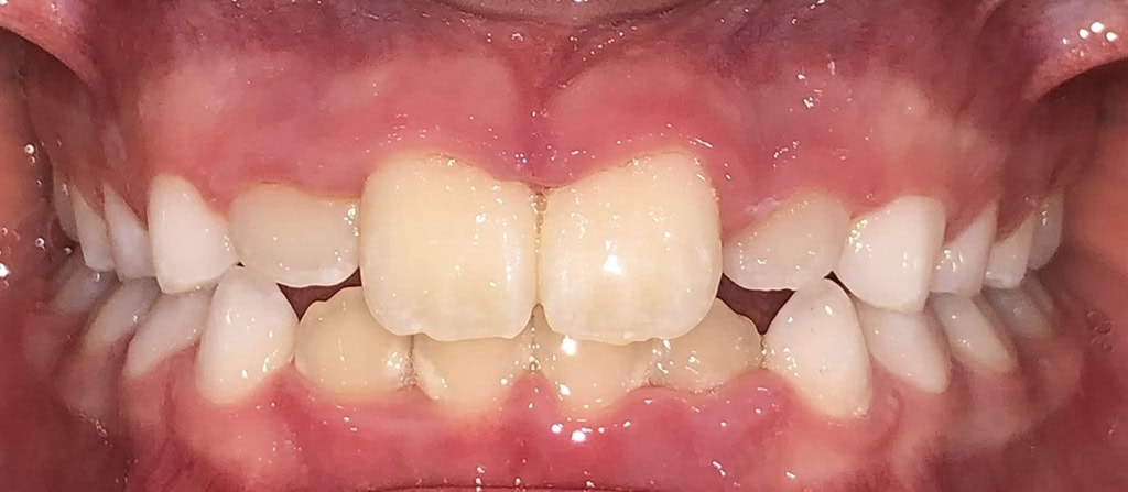
Actual Patient: Kai

Before

After

Before

After
Severe crowding, Narrow Jaws, Severe Deep Bite
Front View
Top View
Right & Left Sides

The Golden Window for Easy Orthodontic Treatment
If your child is between ages 6-9, you’re in the “golden window” for correcting jaw and bite issues. This is the ideal time to start Invisalign® First and avoid the trauma of traditional methods.
But time is running out. If you wait to act before your child turns ten, the opportunity will be gone! We won’t be able to use Invisalign® First! A child’s jawbone is still moldable during this crucial window. After the age of nine, their jawbone hardens. The potential solutions from there become far more painful, longer, and can even include surgery.



